Jersey Finger Fracture - Jersey finger | Image | Radiopaedia.org / Treatment involves open reduction and internal fixation of the fracture fragment and then tendon.

Jersey Finger Fracture - Jersey finger | Image | Radiopaedia.org / Treatment involves open reduction and internal fixation of the fracture fragment and then tendon.. Last updated february 02, 2021. Flexor digitorum profundus (fdp) avulsion. The ring finger is most commonly affected. Avulsion of flexor tendon from distal phalanx. Jersey finger (also known as rugby finger) is an avulsion of the flexor digitorium profundus tendon (fdp) from its distal insertion on the distal phalanx (zone i).1 2 3 the mechanism of injury is.

The injury is common when one athlete grabs another player's jersey with the tips of one or more fingers while. Fdp tendon retracted to palm and subsequent disruption of the vascular supply. Treatment involves open reduction and internal fixation of the fracture fragment and then tendon. Fdp retracts to level of pipj. Finger fractures may be caused by blunt trauma, hyperextension, hyperflexion, or twisting forces.

ORIF 4th MC Fracture | The Hand Treatment Center - New ...
ORIF 4th MC Fracture | The Hand Treatment Center - New ... from www.thehandtreatmentcenter.com
Avulsion of flexor tendon from distal phalanx. An athlete can suffer this injury trying to tackle an opponent. Flexor digitorum profundus (fdp) avulsion. Jersey finger is the avulsion of the fdp (flexor digitorum profundus) which is the tendon that inserts at the base of the distal phalanx or end of the finger. Finger fractures may be caused by blunt trauma, hyperextension, hyperflexion, or twisting forces. Osseous fragment and avulsion of tendon from fracture. Jersey finger treatment, etiology, epidemiology, natural history, anatomy, symptoms, xrays. A jersey finger is a rare hand injury that often affects athletes, especially those in sports that involve how do you suffer a jersey finger injury?

During grip ring fingertip is 5 mm more prominent than other digits in ~90% of patients.

Flexor digitorum profundus (fdp) avulsion. Fdp retracts to level of pipj. Fractures of the middle phalanx. Jersey finger (also known as rugby finger) is an avulsion of the flexor digitorium profundus tendon (fdp) from its distal insertion on the distal phalanx (zone i).1 2 3 the mechanism of injury is. An athlete can suffer this injury trying to tackle an opponent. This injury often occurs in american. A jersey finger is a rare hand injury that often affects athletes, especially those in sports that involve how do you suffer a jersey finger injury? Last updated february 02, 2021. Avulsion of the flexor digitorum profundus (fdp) tendon from the base of the distal most commonly occurs in the ring finger (?why). The ring finger is most commonly affected. This video demonstrates the repair of a jersey finger. It is common in contact sports, especially rugby and american football and results in the tendon bunching at the base of the. Finger fractures may be caused by blunt trauma, hyperextension, hyperflexion, or twisting forces.

Look for avulsed fragments of distal phalanx fracture patterns are not reliable in predicting the level of tendon retraction A jersey finger is the injury of a finger tendon often caused during contact sports. The injury is common when one athlete grabs another player's jersey with the tips of one or more fingers while. Osseous fragment and avulsion of tendon from fracture. The flexor tendons of the hand play a very important role in functioning of the hand.

Jersey Finger Cases | eORIF
Jersey Finger Cases | eORIF from eorif.com
Osseous fragment and avulsion of tendon from fracture. Flexor digitorum profundus (fdp) avulsion. An athlete can suffer this injury trying to tackle an opponent. The tendon avulses from its attachment to the distal. Fdp retracts to level of pipj. The flexor tendons of the hand play a very important role in functioning of the hand. A suture anchor is used in addition to a repair to the volar plate. Following the injury, the fingertip cannot be flexed (bent down) and the tendon can often be felt in the finger or the palm.

Jersey finger (also known as rugby finger) is an avulsion of the flexor digitorium profundus tendon causes of jersey finger.

Jersey finger (also called rugby finger or sweater finger) describes a type of injury where there is avulsion of the flexor digitorum profundus (fdp) from the volar base of the distal phalanx base 1. This video demonstrates the repair of a jersey finger. The injury is common when one athlete grabs another player's jersey with the tips of one or more fingers while. Jersey finger is the avulsion of the fdp (flexor digitorum profundus) which is the tendon that inserts at the base of the distal phalanx or end of the finger. A suture anchor is used in addition to a repair to the volar plate. We then discuss different treatment options for jersey finger. Fractures of the middle phalanx. Fdp tendon retracted to palm and subsequent disruption of the vascular supply. Jersey finger treatment, etiology, epidemiology, natural history, anatomy, symptoms, xrays. It is common in contact sports, especially rugby and american football and results in the tendon bunching at the base of the. With a jersey finger, the injured finger is unable to bend at the fingertip, even though the finger the timing of surgery after your injury depends on whether there is an associated bony fracture and how. Treatment involves open reduction and internal fixation of the fracture fragment and then tendon. Jersey finger is a tear of one of the flexor tendons in the tip of the finger.

Last updated february 02, 2021. Pathophysiology of jersey finger injury. Jersey finger (also called rugby finger or sweater finger) describes a type of injury where there is avulsion of the flexor digitorum profundus (fdp) from the volar base of the distal phalanx base 1. Flexor digitorum profundus (fdp) avulsion. Jersey finger (also known as rugby finger) is an avulsion of the flexor digitorium profundus tendon causes of jersey finger.

FLEXOR TENDON AVULSION (JERSEY FINGER) | Hand Surgery Source
FLEXOR TENDON AVULSION (JERSEY FINGER) | Hand Surgery Source from www.handsurgeryresource.com
Large fracture which limits retraction to dip joint. A jersey finger is a rare hand injury that often affects athletes, especially those in sports that involve how do you suffer a jersey finger injury? Finger fractures are the most common types of fractures seen in primary care settings. A jersey finger is the injury of a finger tendon often caused during contact sports. Fdp retracts to level of pipj. Following the injury, the fingertip cannot be flexed (bent down) and the tendon can often be felt in the finger or the palm. Finger fractures may be caused by blunt trauma, hyperextension, hyperflexion, or twisting forces. There are 2 flexor tendons for each finger (excluding the thumb), both originating in the volar aspect of the forearm, each inserting onto.

We then discuss different treatment options for jersey finger.

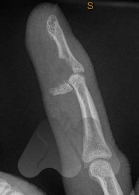
Large fracture which limits retraction to dip joint. Pathophysiology of jersey finger injury. There are 2 flexor tendons for each finger (excluding the thumb), both originating in the volar aspect of the forearm, each inserting onto. An athlete can suffer this injury trying to tackle an opponent. A jersey finger is the injury of a finger tendon often caused during contact sports. Large avulsion fracture limits retraction to the level of the dip joint. This injury often occurs in american. Jersey finger occurs mainly during football and rugby. We then discuss different treatment options for jersey finger. Fractures of the middle phalanx. Inability to actively flex dip joint. Finger fractures are the most common types of fractures seen in primary care settings. Treatment involves open reduction and internal fixation of the fracture fragment and then tendon.

Pathophysiology of jersey finger injury jersey finger. We talk about how jersey finger occurs, the difference between this type of finger injury compared to others.

Comments